Index
Introdução
O câncer de bexiga é uma das neoplasias malignas mais comuns, principalmente entre os homens, e representa um desafio significativo na urologia. Embora seja tratável quando detectado precocemente, ele pode evoluir rapidamente para estágios mais graves se não for diagnosticado a tempo. Por isso, é essencial que todos estejam cientes dos sintomas iniciais dessa doença, pois o reconhecimento precoce pode ser a diferença entre um tratamento bem-sucedido e complicações mais sérias.
O que é o Câncer de Bexiga?
O câncer de bexiga ocorre quando células anormais na bexiga começam a se multiplicar de forma descontrolada, formando um tumor. A maioria dos casos de câncer de bexiga se origina nas células uroteliais, que revestem o interior da bexiga. Essas células estão em constante contato com a urina, o que pode torná-las mais suscetíveis a danos causados por substâncias cancerígenas presentes na urina.
Existem diferentes tipos de câncer de bexiga, sendo o carcinoma de células transicionais (ou urotelial) o mais comum, representando cerca de 90% dos casos. Outros tipos menos comuns incluem o carcinoma de células escamosas e o adenocarcinoma. Independentemente do tipo, o câncer de bexiga pode se comportar de maneira agressiva se não for tratado precocemente.
Relevância do Câncer de Bexiga na Saúde Pública
O câncer de bexiga é o décimo câncer mais comum no mundo, com uma incidência particularmente alta em países desenvolvidos. No Brasil, estima-se que sejam diagnosticados cerca de 10.000 novos casos por ano, com uma mortalidade significativa associada a estágios avançados da doença. Os homens são mais afetados do que as mulheres, com uma proporção de aproximadamente 3:1.
Essa alta incidência e o impacto significativo na qualidade de vida dos pacientes fazem do câncer de bexiga um importante problema de saúde pública. A detecção precoce e a conscientização sobre os sintomas são fundamentais para reduzir a mortalidade e melhorar os desfechos clínicos.
Importância de Reconhecer os Sintomas Precocemente
A detecção precoce do câncer de bexiga está diretamente relacionada à taxa de sucesso do tratamento. Infelizmente, muitos pacientes ignoram os primeiros sinais da doença, como a presença de sangue na urina (hematúria), atribuindo-os a outras condições menos graves. Esse atraso no diagnóstico pode permitir que o câncer progrida para estágios mais avançados, onde o tratamento é mais complexo e menos eficaz.
Reconhecer os sintomas precocemente não apenas aumenta as chances de cura, mas também permite que os tratamentos sejam menos invasivos. Em estágios iniciais, o câncer de bexiga pode ser tratado com técnicas como a ressecção transuretral de tumor de bexiga (RTU), que é menos agressiva do que as cirurgias necessárias em estágios mais avançados.
O que é o Câncer de Bexiga?
O câncer de bexiga é uma doença em que células anormais se desenvolvem no revestimento interno da bexiga e podem invadir outras camadas mais profundas do órgão. Esse tipo de câncer é considerado um dos mais comuns no sistema urinário, afetando tanto homens quanto mulheres, embora os homens tenham uma incidência significativamente maior. A detecção e o tratamento precoces são essenciais para aumentar as chances de cura e minimizar as complicações associadas a essa doença.
Como o Câncer de Bexiga se Desenvolve?
O câncer de bexiga geralmente começa nas células uroteliais, que revestem o interior da bexiga e têm a função de proteger a parede da bexiga dos resíduos tóxicos presentes na urina. Quando essas células sofrem mutações, elas podem começar a crescer de maneira descontrolada, formando um tumor.
Essas mutações podem ser causadas por uma série de fatores, incluindo a exposição a produtos químicos, como aqueles encontrados em tintas e solventes, além de hábitos como o tabagismo. O câncer de bexiga pode ser classificado em diferentes estágios, dependendo da profundidade da invasão do tumor na parede da bexiga e da presença de metástases em outras partes do corpo.
Tipos de Câncer de Bexiga
Existem vários tipos de câncer de bexiga, cada um com características distintas e que exigem abordagens terapêuticas específicas. A seguir, exploramos os principais tipos de câncer de bexiga.
- Carcinoma de Células Transicionais (Urotelial)
O carcinoma de células transicionais, também conhecido como carcinoma urotelial, é o tipo mais comum de câncer de bexiga, representando cerca de 90% dos casos. Esse tipo de câncer se origina nas células uroteliais, que revestem o interior da bexiga. As células uroteliais têm a capacidade de esticar e contrair à medida que a bexiga se enche e esvazia, o que as torna únicas no trato urinário.
O carcinoma urotelial pode ser dividido em duas categorias principais:
- Carcinoma urotelial não invasivo: Nesta forma, o câncer está restrito ao revestimento interno da bexiga e não invadiu as camadas mais profundas. Geralmente, tem um prognóstico melhor e pode ser tratado com procedimentos menos invasivos, como a ressecção transuretral de tumor de bexiga (RTU).
- Carcinoma urotelial invasivo: Neste caso, o câncer penetrou nas camadas musculares da bexiga, tornando-se mais agressivo. O tratamento pode incluir cirurgia mais extensiva, como a cistectomia, além de quimioterapia ou radioterapia.
- Carcinoma de Células Escamosas
O carcinoma de células escamosas é um tipo menos comum de câncer de bexiga, responsável por cerca de 3% a 5% dos casos. Este tipo de câncer se desenvolve a partir de células escamosas, que normalmente não estão presentes na bexiga, mas podem se formar em resposta a inflamação crônica ou irritação, como a causada por infecções urinárias recorrentes ou pelo uso prolongado de cateteres urinários.
O carcinoma de células escamosas tende a ser mais agressivo e é frequentemente diagnosticado em estágios avançados. O tratamento geralmente envolve cirurgia, e a taxa de recorrência é alta, exigindo acompanhamento rigoroso.
- Adenocarcinoma
O adenocarcinoma é um tipo raro de câncer de bexiga, representando aproximadamente 1% dos casos. Esse tipo de câncer se origina nas células glandulares que podem se desenvolver na bexiga como resultado de inflamação crônica ou irritação, semelhantes ao carcinoma de células escamosas.
Por ser raro, o adenocarcinoma da bexiga é frequentemente diagnosticado em estágios avançados, e o tratamento pode ser desafiador. A cistectomia é frequentemente necessária, e o prognóstico pode variar dependendo do estágio em que o câncer é detectado.
Outras Formas Raras de Câncer de Bexiga
Além dos tipos mencionados, existem outras formas raras de câncer de bexiga, como o carcinoma de pequenas células e o sarcoma. Esses tipos são extremamente raros, mas tendem a ser altamente agressivos, com necessidade de tratamentos intensivos, como quimioterapia combinada com cirurgia.
O carcinoma de pequenas células, por exemplo, é um tipo de câncer de bexiga altamente maligno que se origina nas células neuroendócrinas da bexiga. O tratamento geralmente inclui quimioterapia e, em alguns casos, cirurgia.
Principais Sintomas de Câncer na Bexiga
O câncer de bexiga pode se manifestar por meio de uma variedade de sintomas, alguns dos quais são facilmente identificáveis, enquanto outros podem ser confundidos com sinais de outras condições menos graves. Reconhecer esses sintomas é essencial para um diagnóstico precoce e eficaz. A seguir, vamos explorar os principais sinais que podem indicar a presença de câncer na bexiga.
Hematúria (Sangue na Urina): O Sintoma Mais Comum
A hematúria, ou a presença de sangue na urina, é o sintoma mais frequente do câncer de bexiga, sendo relatada em aproximadamente 80% dos casos. Esse sinal de alerta pode variar em intensidade, desde traços de sangue que são visíveis a olho nu até sangue detectado apenas por exames laboratoriais.
- Hematúria Macroscópica: Neste caso, o sangue é visível na urina, que pode apresentar uma coloração que varia de rosa claro a vermelho vivo ou até marrom escuro, dependendo da quantidade de sangue presente. Essa mudança na cor da urina pode ser intermitente, o que significa que a urina pode parecer normal em alguns momentos e apresentar sangue em outros.
- Hematúria Microscópica: Aqui, o sangue na urina só pode ser detectado através de exames laboratoriais, como a análise de urina. Embora não seja visível a olho nu, essa condição não deve ser ignorada, pois pode ser um indicador precoce de câncer de bexiga.
A presença de sangue na urina pode ser causada por várias outras condições, como infecções urinárias ou cálculos renais, mas é sempre importante investigar a causa subjacente para descartar ou confirmar o câncer de bexiga.
Dor ao Urinar: Disúria e Suas Possíveis Causas
A disúria, ou dor ao urinar, é outro sintoma comum associado ao câncer de bexiga, especialmente em estágios mais avançados. Essa dor pode ser descrita como uma sensação de queimação ou desconforto durante a micção e pode ser acompanhada de uma necessidade frequente de urinar.
- Causas da Disúria: No contexto do câncer de bexiga, a disúria pode ser causada pela irritação do revestimento da bexiga pelo tumor, pela presença de células cancerígenas na urina ou pela obstrução parcial do fluxo urinário devido ao crescimento do tumor.
- Outras Condições: A disúria também pode ser causada por infecções urinárias, prostatite em homens ou cistite intersticial, entre outras condições. No entanto, quando a disúria é persistente e acompanhada de outros sintomas, como hematúria, deve-se considerar a possibilidade de câncer de bexiga.
Necessidade Urgente ou Frequente de Urinar: Sinais de Irritação na Bexiga
A urgência urinária, caracterizada por uma necessidade súbita e intensa de urinar, e a frequência urinária, que se refere à necessidade de urinar mais vezes do que o habitual, são sintomas que podem indicar a presença de câncer de bexiga. Esses sintomas ocorrem porque o tumor na bexiga pode irritar o revestimento do órgão, causando espasmos que levam à necessidade de esvaziar a bexiga com maior frequência.
- Urgência Urinária: Pacientes podem sentir uma vontade irresistível de urinar, muitas vezes com pouca ou nenhuma urina sendo expelida. Esse sintoma pode ser debilitante e impactar significativamente a qualidade de vida do paciente.
- Frequência Urinária: A necessidade de urinar várias vezes ao longo do dia e da noite pode ser um sinal de que algo está afetando a capacidade da bexiga de armazenar urina adequadamente. Em casos de câncer de bexiga, a frequência urinária pode ser acompanhada de outros sintomas, como dor ou desconforto.
Embora esses sintomas sejam frequentemente associados a infecções do trato urinário, cistite ou hiperplasia prostática benigna em homens, sua persistência e a presença de outros sinais, como sangue na urina, devem motivar uma avaliação médica imediata.
Dor Abdominal ou Pélvica: Indicação de Estágios Avançados
A dor abdominal ou pélvica é um sintoma que geralmente se manifesta em estágios mais avançados do câncer de bexiga, quando o tumor começa a invadir outras estruturas próximas ou quando se espalha para os gânglios linfáticos ou órgãos vizinhos.
- Localização da Dor: A dor pode ser sentida na parte inferior do abdômen, na região pélvica ou nas costas, dependendo da extensão do câncer. Em alguns casos, a dor pode ser constante, enquanto em outros, pode ocorrer apenas durante a micção.
- Causas da Dor: A dor abdominal ou pélvica pode ser causada pela invasão do câncer nas paredes musculares da bexiga, pela compressão de nervos ou pela obstrução do fluxo urinário. Esse sintoma é um indicador de que o câncer pode ter se espalhado e que uma intervenção médica mais agressiva pode ser necessária.
Perda de Peso Inexplicada e Fadiga: Sintomas Gerais do Câncer
Em estágios avançados, o câncer de bexiga pode causar sintomas gerais como perda de peso inexplicada e fadiga. Esses sintomas são comuns em muitas formas de câncer e indicam que o corpo está sendo afetado de maneira sistêmica pela doença.
- Perda de Peso: A perda de peso involuntária e significativa pode ocorrer devido ao aumento do gasto energético do corpo ao tentar combater o câncer ou pela diminuição do apetite, que é comum em pacientes com câncer avançado.
- Fadiga: A fadiga severa é um sintoma comum em muitas formas de câncer, incluindo o câncer de bexiga. Ela pode ser resultado da anemia, da desnutrição, ou do efeito do câncer sobre o metabolismo do corpo. A fadiga pode ser debilitante e afetar a capacidade do paciente de realizar atividades diárias.
Esses sintomas gerais são frequentemente subestimados, mas sua presença, especialmente quando combinada com os sintomas urinários descritos acima, deve levar a uma investigação médica completa.
Fatores de Risco e Populações Mais Afetadas
O câncer de bexiga, como outras formas de câncer, é influenciado por uma combinação de fatores genéticos e ambientais. Identificar esses fatores de risco é crucial para a prevenção e o diagnóstico precoce, especialmente em indivíduos que pertencem a grupos demográficos mais vulneráveis. A seguir, exploramos os principais fatores de risco e as populações mais afetadas pelo câncer de bexiga.
Tabagismo: O Principal Fator de Risco
O tabagismo é, de longe, o fator de risco mais significativo para o desenvolvimento do câncer de bexiga, sendo responsável por cerca de 50% dos casos. A fumaça do cigarro contém inúmeras substâncias químicas cancerígenas que, ao serem inaladas, entram na corrente sanguínea e são filtradas pelos rins, concentrando-se na urina e entrando em contato direto com o revestimento da bexiga.
- Impacto do Tabagismo: Fumantes têm um risco até quatro vezes maior de desenvolver câncer de bexiga em comparação com não fumantes. Mesmo os ex-fumantes continuam a apresentar um risco elevado, embora esse risco diminua com o tempo após a cessação do tabagismo.
- Outras Formas de Tabaco: O uso de outras formas de tabaco, como charutos e tabaco de mascar, também aumenta o risco de câncer de bexiga, embora em menor grau que o cigarro.
- Prevenção: A cessação do tabagismo é uma das medidas preventivas mais eficazes para reduzir o risco de câncer de bexiga, além de trazer benefícios significativos para a saúde geral.
Exposição a Produtos Químicos: Riscos Ocupacionais e Ambientais
A exposição a certas substâncias químicas, especialmente em ambientes ocupacionais, é outro fator de risco importante para o câncer de bexiga. Indivíduos que trabalham em indústrias que utilizam produtos químicos como anilinas, benzeno e aminas aromáticas estão particularmente em risco.
- Indústrias de Risco: Trabalhadores em indústrias de tintas, borracha, couro, têxtil, e metalurgia são mais vulneráveis ao câncer de bexiga devido à exposição prolongada a essas substâncias. Além disso, barbeiros, motoristas de caminhão e outros profissionais que entram em contato frequente com produtos químicos também apresentam risco elevado.
- Exposição Ambiental: Embora o risco ocupacional seja mais significativo, a exposição ambiental a produtos químicos, como os presentes na poluição da água, também pode contribuir para o desenvolvimento do câncer de bexiga.
- Medidas de Proteção: A utilização de equipamentos de proteção individual (EPIs) no ambiente de trabalho e a regulamentação rigorosa do uso de substâncias químicas perigosas são essenciais para reduzir o risco.
Idade e Gênero: Influências Demográficas
A idade é um dos fatores de risco mais fortes para o câncer de bexiga, com a maioria dos casos ocorrendo em indivíduos com mais de 55 anos. O risco de desenvolver câncer de bexiga aumenta com a idade, refletindo o acúmulo de exposições a fatores de risco ao longo da vida.
- Idade: Aproximadamente 90% dos casos de câncer de bexiga ocorrem em pessoas com mais de 55 anos, com uma média de diagnóstico em torno dos 73 anos. A idade avançada está associada a uma maior probabilidade de mutações celulares e à diminuição da capacidade do organismo de reparar danos ao DNA.
- Gênero: Os homens são mais afetados pelo câncer de bexiga do que as mulheres, com uma razão de cerca de 3:1. Esse aumento de risco nos homens pode ser atribuído a fatores comportamentais, como taxas mais altas de tabagismo e maior exposição a produtos químicos no ambiente de trabalho. No entanto, as mulheres tendem a ser diagnosticadas em estágios mais avançados da doença, o que pode estar relacionado a um menor reconhecimento inicial dos sintomas.
Histórico Familiar e Fatores Genéticos
Embora a maioria dos casos de câncer de bexiga esteja relacionada a fatores ambientais, a genética também desempenha um papel importante. Pessoas com um histórico familiar de câncer de bexiga têm um risco aumentado, sugerindo que fatores hereditários podem influenciar a susceptibilidade à doença.
- Histórico Familiar: Ter um parente de primeiro grau (pais, irmãos, filhos) com câncer de bexiga aumenta o risco de desenvolver a doença. Isso pode ser devido a mutações genéticas herdadas que afetam a capacidade do corpo de processar substâncias químicas cancerígenas.
- Mutação Genética: Embora não seja comum, mutações em certos genes, como o gene TP53, podem aumentar o risco de câncer de bexiga. Essas mutações podem afetar a capacidade das células de reparar danos ao DNA, aumentando a probabilidade de desenvolvimento de câncer.
- Genética e Prevenção: Indivíduos com histórico familiar de câncer de bexiga devem estar cientes dos sintomas e discutir com seus médicos a possibilidade de exames de rastreamento mais frequentes, especialmente se houver outros fatores de risco presentes.
Outras Condições Médicas: Riscos Associados
Além dos fatores mencionados, algumas condições médicas e tratamentos podem aumentar o risco de câncer de bexiga. A seguir, destacamos algumas dessas condições.
- Infecções Crônicas e Irritação: Infecções urinárias recorrentes, cálculos renais e irritação crônica da bexiga, como a causada pelo uso prolongado de cateteres urinários, podem aumentar o risco de câncer de bexiga, especialmente o carcinoma de células escamosas.
- Tratamentos Anteriores: Certos tratamentos anteriores, como a radioterapia para câncer pélvico ou o uso prolongado de medicamentos de quimioterapia como a ciclofosfamida, estão associados a um risco aumentado de câncer de bexiga.
- Exposição à Radiação: Pacientes que receberam radioterapia para tratar cânceres em outras partes do corpo, como o câncer de próstata, também podem ter um risco maior de desenvolver câncer de bexiga, devido à exposição da bexiga à radiação.
Populações Mais Afetadas: Grupos de Risco Elevado
Alguns grupos demográficos apresentam um risco maior de desenvolver câncer de bexiga devido a uma combinação de fatores genéticos, ambientais e comportamentais. Abaixo, discutimos as populações mais afetadas.
- Homens Fumantes de Idade Avançada: Este grupo é o mais vulnerável ao câncer de bexiga, devido à combinação do principal fator de risco (tabagismo) com a idade e o gênero.
- Trabalhadores Industriais: Indivíduos que trabalham em indústrias de alto risco, como as de tintas, couro e borracha, estão em maior risco devido à exposição prolongada a produtos químicos carcinogênicos.
- Pacientes com Histórico de Radiação: Pessoas que receberam tratamento radioterápico para cânceres na região pélvica devem ser monitoradas de perto para sinais de câncer de bexiga, especialmente se tiverem outros fatores de risco.
Diagnóstico e Importância do Acompanhamento Médico
O diagnóstico precoce do câncer de bexiga é fundamental para o sucesso do tratamento e para melhorar as chances de sobrevivência. A detecção da doença geralmente envolve uma combinação de exames laboratoriais, de imagem e procedimentos invasivos que permitem avaliar a extensão do tumor e identificar o melhor curso de ação. Além disso, o acompanhamento médico regular é crucial, especialmente para indivíduos com fatores de risco elevados, para garantir a detecção precoce de recidivas ou progressão da doença.
Métodos de Diagnóstico: Avaliando a Presença do Câncer de Bexiga
Existem vários métodos de diagnóstico disponíveis para detectar o câncer de bexiga. Cada um desses exames desempenha um papel específico no processo diagnóstico, desde a identificação inicial de anomalias até a confirmação e classificação do tumor.
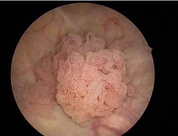
- Cistoscopia: O Padrão Ouro no Diagnóstico
A cistoscopia é considerada o padrão ouro no diagnóstico do câncer de bexiga. Esse procedimento envolve a inserção de um cistoscópio, um tubo fino com uma câmera e uma luz na extremidade, através da uretra para examinar o interior da bexiga. A cistoscopia permite ao médico visualizar diretamente a parede da bexiga e identificar quaisquer anormalidades, como tumores ou lesões.
- Procedimento: A cistoscopia pode ser realizada sob anestesia local ou geral, dependendo do caso. Durante o exame, o médico pode remover pequenas amostras de tecido (biópsia) para análise patológica, confirmando a presença de células cancerígenas.
- Importância: A cistoscopia não apenas permite o diagnóstico do câncer de bexiga, mas também pode ser utilizada para monitorar pacientes após o tratamento, verificando a presença de recidivas.
- Exames de Imagem: Avaliando a Extensão da Doença
Os exames de imagem são ferramentas essenciais para avaliar a extensão do câncer de bexiga, ajudando a determinar se o tumor se espalhou para além da parede da bexiga ou para outras partes do corpo.
- Tomografia Computadorizada (TC): A TC é frequentemente utilizada para visualizar o trato urinário e as estruturas adjacentes. Ela é especialmente útil para detectar a propagação do câncer para os gânglios linfáticos, rins, fígado e pulmões.
- Ressonância Magnética (RM): A RM pode fornecer imagens detalhadas dos tecidos moles e é útil para avaliar a profundidade da invasão do tumor na parede da bexiga e em áreas circunvizinhas.
- Ultrassonografia: A ultrassonografia é um método não invasivo que pode ser utilizado como uma primeira linha de investigação para detectar massas na bexiga. Embora não seja tão detalhado quanto a TC ou a RM, é uma ferramenta útil para avaliar o tamanho e a localização do tumor.
- Análise de Urina: Indicadores Precoce e Biomarcadores
A análise de urina é uma ferramenta valiosa no diagnóstico do câncer de bexiga, especialmente na identificação de hematúria microscópica e na detecção de células anormais ou marcadores tumorais na urina.
- Exame de Urina: A análise de urina pode detectar a presença de sangue e outras substâncias anormais. A hematúria, como discutido anteriormente, é um dos sinais mais comuns de câncer de bexiga e pode ser um indicador precoce da doença.
- Citologia Urinária: A citologia urinária envolve o exame microscópico das células presentes na urina para identificar células cancerígenas. Embora seja mais eficaz na detecção de cânceres de bexiga de alto grau, sua sensibilidade para tumores de baixo grau é limitada.
- Testes de Biomarcadores: Existem testes específicos que podem detectar biomarcadores associados ao câncer de bexiga na urina. Esses testes são usados em conjunto com outros métodos diagnósticos para aumentar a precisão do diagnóstico.
Importância do Acompanhamento Médico: Monitorando a Recidiva e a Progressão
O acompanhamento médico regular é essencial para pacientes diagnosticados com câncer de bexiga, especialmente devido à alta taxa de recidiva associada a essa doença. Mesmo após o tratamento bem-sucedido, o câncer de bexiga pode retornar, o que torna o monitoramento contínuo uma parte crucial do manejo da doença.
- Cistoscopia de Seguimento: Monitorando Recidivas
Após o tratamento inicial, os pacientes com câncer de bexiga são submetidos a cistoscopias regulares para monitorar a bexiga em busca de novos tumores. A frequência das cistoscopias de seguimento depende do risco de recidiva, que é baseado no estágio e no grau do tumor inicial.
- Frequência de Exames: Nos primeiros dois anos após o tratamento, cistoscopias podem ser realizadas a cada três a seis meses. Posteriormente, a frequência pode ser reduzida para uma vez ao ano, dependendo dos achados.
- Detecção de Novos Tumores: A cistoscopia de seguimento permite a detecção precoce de novos tumores, que podem ser tratados prontamente para evitar a progressão da doença.
Exames de Imagem e Análises Adicionais: Avaliando a Progressão
Além da cistoscopia, exames de imagem e análises adicionais podem ser necessários para monitorar a progressão da doença e a resposta ao tratamento.
- Tomografia e Ressonância: Esses exames podem ser utilizados periodicamente para avaliar se o câncer se espalhou para outras partes do corpo ou para monitorar a resposta a terapias específicas, como a quimioterapia.
- Análise de Urina Contínua: A análise de urina regular pode ajudar a identificar a recidiva da doença, especialmente através da citologia urinária e de testes de biomarcadores.
Conclusão
O câncer de bexiga é uma condição que, apesar de comum, muitas vezes não recebe a atenção necessária até que os sintomas se tornem impossíveis de ignorar. Isso pode atrasar o diagnóstico e diminuir as chances de um tratamento eficaz. No entanto, com o conhecimento adequado e uma atitude proativa em relação à saúde, é possível reconhecer os sinais de alerta precocemente e buscar a intervenção médica necessária a tempo.
A Importância de Reconhecer os Sintomas Precocemente
A detecção precoce é o fator mais importante para garantir o sucesso no tratamento do câncer de bexiga. Como discutido anteriormente, sintomas como hematúria, dor ao urinar, urgência urinária e dor abdominal não devem ser ignorados, mesmo que possam parecer inofensivos ou relacionados a condições menos graves.
- Reconhecendo os Sinais: O sintoma mais comum, a presença de sangue na urina, é um sinal de alerta que deve ser imediatamente investigado. Mesmo que o sangue na urina não seja visível a olho nu, a hematúria microscópica pode ser um indicador precoce de câncer de bexiga e deve ser avaliada por um profissional de saúde.
- Ação Imediata: Ao notar qualquer um dos sintomas discutidos, é fundamental que o paciente procure assistência médica sem demora. O medo ou a hesitação em buscar ajuda pode levar a um atraso no diagnóstico, permitindo que o câncer progrida para estágios mais avançados, onde o tratamento é mais difícil e as chances de cura são menores.
A Necessidade de Exames Regulares e Acompanhamento
Para aqueles que pertencem a grupos de risco elevado, como fumantes, trabalhadores expostos a produtos químicos ou pessoas com histórico familiar de câncer de bexiga, a prevenção e o diagnóstico precoce são ainda mais cruciais. Exames regulares e o acompanhamento médico contínuo são essenciais para monitorar a saúde da bexiga e detectar qualquer anormalidade o mais cedo possível.
Embora não haja um programa de rastreamento universal para o câncer de bexiga, pessoas em risco elevado podem se beneficiar de exames regulares, como a citologia urinária e a cistoscopia, especialmente se apresentarem sintomas persistentes.
- Cistoscopia de Rotina: Para pacientes com histórico de câncer de bexiga, a cistoscopia de rotina é uma prática recomendada para monitorar a recidiva da doença. A frequência desse exame deve ser determinada pelo médico com base no risco individual do paciente.
- Análise de Urina: A análise regular de urina pode ajudar a identificar precocemente sinais de câncer de bexiga, como a presença de células anormais ou marcadores tumorais. Em combinação com outros métodos diagnósticos, esses exames podem aumentar significativamente as chances de detectar a doença em estágios iniciais.
Envolvimento Ativo do Paciente: Um Papel Fundamental
Além do diagnóstico e do acompanhamento, o envolvimento ativo do paciente em sua própria saúde é um fator crucial para o sucesso do manejo do câncer de bexiga. Pacientes informados e proativos têm maior probabilidade de reconhecer os sintomas, buscar ajuda imediatamente e seguir as recomendações médicas com rigor.
- Empoderamento do Paciente: Educar os pacientes sobre os sintomas do câncer de bexiga, os fatores de risco e a importância do acompanhamento é essencial para capacitá-los a tomar decisões informadas sobre sua saúde.
- Comunicação com o Médico: Um relacionamento aberto e de confiança com o médico permite que os pacientes expressem suas preocupações, façam perguntas e se sintam apoiados ao longo de todo o processo de diagnóstico e tratamento.
- Manutenção de Hábitos Saudáveis: Além de seguir o acompanhamento médico, os pacientes podem reduzir o risco de recidiva e melhorar sua saúde geral ao adotar hábitos saudáveis, como cessação do tabagismo, dieta equilibrada e prática regular de exercícios físicos.

